Current Issue: Volume 30 |  Issue 1  |  Year 2022-23

Prelims: From the desk of the Editor

Dr. Kalpana Sharma

Institutional Subscription

Individual Subscription

Case Report

Background: Malignant cervical lymphadenopathy in children, though relatively rare as compared to adults, presents a significant clinical challenge due to its potential association with various underlying malignancies like ‘lymphomas (Hodgkin’s and non-Hodgkin’s lymphoma), leukemia and nasopharyngeal carcinoma’. ‘The diagnostic approach typically involves a combination of clinical evaluation, imaging studies and histopathological examination of lymph node biopsies’. Advances in imaging technique, such as PET-CT and MRI have improved the accuracy of staging and assessment of disease extent. Effective management requires a multidisciplinary approach to improve outcomes and ensure comprehensive care. 

Methods: ‘This prospective observational study was carried out in the Department of Otorhinolaryngology and Head and Neck Surgery in tertiary care hospital in Guwahati from July 2014 to June 2024. Atotal of 3651 children were admitted during this period. Each patient with cervical lymphadenopathy and neck masses were thoroughly assessed clinically which was followed by Ultrasonography of neck, Fine Needle Aspiration Cytology(FNAC) and if necessary ‘biopsy’for histopathological study to confirm the diagnosis.’

Results: Outof the total 3651children, 1162cases were found to be fulfilling the inclusion criteria and on further assessment 64cases turned out to be malignant. These cases of age group 1-18 years presented with different childhood malignancies with 14 cases of Hodgkin’s lymphoma and leukemia each, Nasopharyngeal carcinoma with 11 cases,Non-Hodgkin’s lymphoma with 8 cases,Rhabdomyosarcoma with 5 cases, Thyroid carcinoma with 5 cases, Langerhans Cell Histiocytosis with 4 cases,and Salivary gland tumors with 3 cases.

Conclusion: Accurate diagnosis of malignant cervical lymphadenopathy in children depends on a multidisciplinary approach, integrating clinical assessment, imaging and histopathology. Utilizing these techniques effectively ensures precise identification of malignancies, which is crucial for developing appropriate management strategies and improving patient outcomes.

Keywords: childhood, malignant cervical lymphadenopathy, lymphoma, leukemia.

E.N.T. or Otolaryngology, the branch of medicine dealing with ear, nose, throat and head & neck, is an ever evolving medical and surgical specialty. Ears, nose and throat have intrigued humanity since immemorial times. Treatments for the larynx, the nose and the ear and also surgeries were practiced by Greek, Hindu and Byzantine doctors. In the 20th century clinical and surgical innovations were incorporated, thanks to new anesthesia techniques, antibiotics, radiology and new technologies.1 Ayurveda- Over the last 50 years the speciality has undergone dramatic development and has taken advantage of new advances in endoscopy, microsurgery, the use of lasers, cytotoxic drugs, flap reconstruction and microchip technology. During the same period, although still calling themselves otorhinolaryngologists, individual surgeons have subspecialised in otology, otoneurosurgery and skull-base surgery, head and neck surgery, phonosurgery, rhinology and facioplastic surgery, and paediatric otorhinolaryngology.2 The medical science originating in India, regarded oldest in the world, had rich knowledge about the diseases of ear, nose, throat& head and neck, like other parts of the human body. The same has been incorporated along with Ophthalmology and Dentistry in the branch of Shalakya Tantra.3 Shalakya Tantra is one among the original eight folds of Ayurveda, mentioned in the oldest literatures of the system4. Over time Otorhinolaryngology, Ophthalmology, Oral and Dentistry have been able to establish their separate identities, as the system of Ayurveda has undergone tremendous modernization into many subdivisions in line of its contemporary medical science. Otorhinolaryngology & Head and Neck related topics constitute the subdivision “Karna-Nasa-Kantha Roga” of Shalakya Tantra, of which the Otology part can be embodied in the Karnarogas.

Keywords:- Ayurveda, Shalakya Tantra, Karna-Nasa-KanthaRoga, Otology, Karnaroga

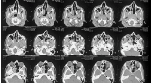
Nasalactinomycosis Mimicking Juvenile Nasopharyngeal Angiofibroma
Kalpana Sharma, Uma Roy, KumKum Bora, Navroz Mehta

Aim: The Study is intended to evaluate the outcome of Open reduction and internal fixation (ORIF) in mandibular fracture and its
associated complications.
Material and Methods: Aprospective study was conducted based on the patients admitted and treated for mandibular fractures in our unit
during the period April 2022-March 2024. Atotal of 40 patients who sustained a mandibular fracture and were treated for open reduction and
internal fixation under GAin our hospital were included.
Results: Mandibular fracture is most common among young males mainly involving motorbikes. Outcome of ORIF mandible analysis was
done using mouth opening (mm) and dental occlusion as tools for evaluating the results of surgery. Complications were also observed like
peresthesia of lip, malunion, wound infection and marginal mandibular nerve peresis.
Conclusion: ORIF mandible offers good functional outcome but not without its share of complications
keywords: mandible fracture, ORIF, complications

Single Stage Airway Balloon Dilatation for Laryngotracheal Stenosis
Sanchita Kalita, Biswajit Gogoi, Gautam Khaund

Cerebrovascular accidents( CVA) and traumatic brain injury ( TBI) comprise a bulk of patients with neurological deficits admitted in hospitals and rehabilitation centers . Most of the patients are transferred from tertiary care hospitals to physiotherapy and rehabilitation centers to continue the nursing care . Majority of the patients are kept on nasogastric feeding to maintain nutrition as well as to avoid aspiration pneumonia which may derail the entire rehabilitation process for the patients. Most patients are not ambulatory and therefore it is not practically and logistically possible to take them to the endoscopy suite of a hospital. Portable FEES can prove to be valuable tool in these patients for starting swallowing therapy and management of swallowing problems in these patients. In this study we aim to elucidate the importance of portable FEES in such patients.
Original Article
Introduction: Suicidal or Homicidal Cut throat injuries can lead to significant morbidity or even mortality of the patient if not managed promptly.
Aim: To analyse the surgical management, outcome and quality of life of cut throat injury patients in Dept of ENT,Tezpur Medical college .
Methods and materials: Aretrospective study was conducted in Tezpur Medical College and Hospital of all the cut throat patients attending the emergency department and admitted in Department of ENT from the time period of 01/01/23 – 01/06/24. A total of 14 cases of cut throat injuries were included in the study after obtaining proper consent from the patient party. The surgical management , outcome and quality of life of these cut throat injury patients were analysed and reviewed.
Results: Out of 14 cases, 12 were males and 2 were females. Majority of the cases were suicidal (10), followed by homicidal (4). Tracheostomy was needed in 10 cases while 2 patients expired. Conclusion: Cut throat injuries are serious injuries that need prompt treatment, failing to which can be life threatening to the patient. In our study we found that most of the patients were from lower socioeconomic background from rural areas. We also found that male were more commonly affected than females with a male to female ratio of 6:1. Most of the injuries were suicidal in nature, with pre existing psychological issues in some of them. Alcohol abuse was another common factor.

Etiological Factors Associated with Tracheostomy & its Complications
Rupanjita Sangma, Debajit Sarma, Shankhadhwaj Borah, Monikuntal Sarmah, Manaswi Sharma, Pankaj Neog

Background : Vocal fold nodules are small bilateral swellings (less than 3 mm in diameter) that develop on the free edge of the vocal fold at approximately the mid-membranous portion. It presents as hoarseness, vocal fatigue and breathiness. This study was carried out in a tertiary care hospital to study the management of vocal nodules in patients diagnosed with vocal nodules in the Otorhinolaryngology department.
Aims and Objective: To study the role of voice therapy in the management of vocal nodules.
Method : This prospective study was conducted in the Otorhinolaryngology department of a tertiary care hospital from 1st June 2023 to 29th February 2024 on patients diagnosed with vocal nodules in the Department of Otorhinolaryngology.
Results: On laryngoscopic evaluation, after 6 weeks of voice therapy, 12 out of 14 patients (86%) showed resolution of the nodule and the rest 2 (14 %) patients had persistent nodules. Those 12 patients also showed an improvement in VHI score from 14.5 at the time of diagnosis to 1.5 at the end of 6 weeks after voice therapy.
Conclusion: In our study it has been found that combination of voice therapy, vocal hygiene, and medication management is a successful treatment regimen of vocal nodules. Also the patient’s gave feedback that their voice better quality improved. Rigid video-directed laryngoscopy revealed that while the nodules had shrunk in size and the amount of edema had subsided, they had not entirely resolved.
Keywords: Voice therapy, vocal nodule, voice change.

Geriatric Dysphagia – Importance of Fiberoptic Endoscopic Evaluation of Swallowing (FEES)
Priyam Sharma,Gautam Khaund, Surajit Barman, Vivek Agarwal, Debika Baruah, Biswajit Gogoi

Background : Vocal fold nodules are small bilateral swellings (less than 3 mm in diameter) that develop on the free edge of the vocal fold at approximately the mid-membranous portion. It presents as hoarseness, vocal fatigue and breathiness. This study was carried out in a tertiary care hospital to study the management of vocal nodules in patients diagnosed with vocal nodules in the Otorhinolaryngology department.
Aims and Objective: To study the role of voice therapy in the management of vocal nodules.
Method : This prospective study was conducted in the Otorhinolaryngology department of a tertiary care hospital from 1st June 2023 to 29th February 2024 on patients diagnosed with vocal nodules in the Department of Otorhinolaryngology.
Results: On laryngoscopic evaluation, after 6 weeks of voice therapy, 12 out of 14 patients (86%) showed resolution of the nodule and the rest 2 (14 %) patients had persistent nodules. Those 12 patients also showed an improvement in VHI score from 14.5 at the time of diagnosis to 1.5 at the end of 6 weeks after voice therapy.
Conclusion: In our study it has been found that combination of voice therapy, vocal hygiene, and medication management is a successful treatment regimen of vocal nodules. Also the patient’s gave feedback that their voice better quality improved. Rigid video-directed laryngoscopy revealed that while the nodules had shrunk in size and the amount of edema had subsided, they had not entirely resolved.
Keywords: Voice therapy, vocal nodule, voice change.

Patterns of Vascularization and Surgical Approach in Juvenile Naopharyngeal Angiofibroma
Rupanjita Sangma, Suhanee Goswami, Sharmistha Talukdar, Debojit Sarma

Background : Vocal fold nodules are small bilateral swellings (less than 3 mm in diameter) that develop on the free edge of the vocal fold at approximately the mid-membranous portion. It presents as hoarseness, vocal fatigue and breathiness. This study was carried out in a tertiary care hospital to study the management of vocal nodules in patients diagnosed with vocal nodules in the Otorhinolaryngology department.
Aims and Objective: To study the role of voice therapy in the management of vocal nodules.
Method : This prospective study was conducted in the Otorhinolaryngology department of a tertiary care hospital from 1st June 2023 to 29th February 2024 on patients diagnosed with vocal nodules in the Department of Otorhinolaryngology.
Results: On laryngoscopic evaluation, after 6 weeks of voice therapy, 12 out of 14 patients (86%) showed resolution of the nodule and the rest 2 (14 %) patients had persistent nodules. Those 12 patients also showed an improvement in VHI score from 14.5 at the time of diagnosis to 1.5 at the end of 6 weeks after voice therapy.
Conclusion: In our study it has been found that combination of voice therapy, vocal hygiene, and medication management is a successful treatment regimen of vocal nodules. Also the patient’s gave feedback that their voice better quality improved. Rigid video-directed laryngoscopy revealed that while the nodules had shrunk in size and the amount of edema had subsided, they had not entirely resolved.
Keywords: Voice therapy, vocal nodule, voice change.

Should an Otoendoscope be used as a pre-operative tool to avoid suprises in tympanomastoid surgeries
Titas Kar, Saikat Samaddar, Mainak Maitra, SaumendranathBandyopadhyay

Background : Vocal fold nodules are small bilateral swellings (less than 3 mm in diameter) that develop on the free edge of the vocal fold at approximately the mid-membranous portion. It presents as hoarseness, vocal fatigue and breathiness. This study was carried out in a tertiary care hospital to study the management of vocal nodules in patients diagnosed with vocal nodules in the Otorhinolaryngology department.
Aims and Objective: To study the role of voice therapy in the management of vocal nodules.
Method : This prospective study was conducted in the Otorhinolaryngology department of a tertiary care hospital from 1st June 2023 to 29th February 2024 on patients diagnosed with vocal nodules in the Department of Otorhinolaryngology.
Results: On laryngoscopic evaluation, after 6 weeks of voice therapy, 12 out of 14 patients (86%) showed resolution of the nodule and the rest 2 (14 %) patients had persistent nodules. Those 12 patients also showed an improvement in VHI score from 14.5 at the time of diagnosis to 1.5 at the end of 6 weeks after voice therapy.
Conclusion: In our study it has been found that combination of voice therapy, vocal hygiene, and medication management is a successful treatment regimen of vocal nodules. Also the patient’s gave feedback that their voice better quality improved. Rigid video-directed laryngoscopy revealed that while the nodules had shrunk in size and the amount of edema had subsided, they had not entirely resolved.
Keywords: Voice therapy, vocal nodule, voice change.

Thyroid Swellings and Airway Problems
Kalpana Sharma, Arpana Ben

Background : Vocal fold nodules are small bilateral swellings (less than 3 mm in diameter) that develop on the free edge of the vocal fold at approximately the mid-membranous portion. It presents as hoarseness, vocal fatigue and breathiness. This study was carried out in a tertiary care hospital to study the management of vocal nodules in patients diagnosed with vocal nodules in the Otorhinolaryngology department.
Aims and Objective: To study the role of voice therapy in the management of vocal nodules.
Method : This prospective study was conducted in the Otorhinolaryngology department of a tertiary care hospital from 1st June 2023 to 29th February 2024 on patients diagnosed with vocal nodules in the Department of Otorhinolaryngology.
Results: On laryngoscopic evaluation, after 6 weeks of voice therapy, 12 out of 14 patients (86%) showed resolution of the nodule and the rest 2 (14 %) patients had persistent nodules. Those 12 patients also showed an improvement in VHI score from 14.5 at the time of diagnosis to 1.5 at the end of 6 weeks after voice therapy.
Conclusion: In our study it has been found that combination of voice therapy, vocal hygiene, and medication management is a successful treatment regimen of vocal nodules. Also the patient’s gave feedback that their voice better quality improved. Rigid video-directed laryngoscopy revealed that while the nodules had shrunk in size and the amount of edema had subsided, they had not entirely resolved.
Keywords: Voice therapy, vocal nodule, voice change.

Scroll to Top